La tubercolosi è una malattia contagiosa causata dal batterio Mycobacterium Tuberculosis, un batterio che agisce in maniera lenta, silenziosa e progressiva, colpendo principalmente i polmoni, sebbene possa interessare altri organi. Il contagio può avvenire mediante la trasmissione da un individuo malato, tramite la saliva, lo sternuto o mediante colpi di tosse.
Per trasmettere l’infezione bastano pochissimi bacilli anche se non necessariamente tutte le persone contagiate dai batteri della Tbc si ammalano subito: il sistema immunitario può far fronte all’infezione o il batterio può mantenere quiescente per anni, per poi sviluppare la malattia al primo abbassamento delle difese. Un individuo malato, se non sottoposto a cure adeguate, può infettare, in media, in un anno, 10-15 persone. La tubercolosi, chiamata comunemente col famigerato abbreviativo TBC , è basata sulla presenza di tubercoli (noduli all’interno degli organi interessati dalla malattia , che si diffondono in modo progressivo, distruggendo i tessuti (dato che i tubercoli ne sostituiscono la struttura e causano la presenza di veri e propri buchi, provocando un danno irreversibile). Per riconoscere questa malattia devastante, occorre fare attenzione ai sintomi: febbre stanchezza sono comuni con tante possibili cause; mentre altri, come la perdita di appetito o di peso, sono più specifici. Occorre, inoltre, osservare i peggioramenti dei sintomi.
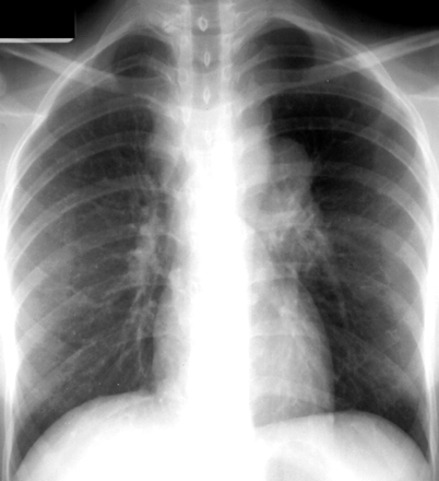
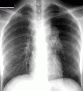
Per scoprire quale sia l’organo interessato, basta osservare dove si concentrano i sintomi, tenendo presente che l’obiettivo prevalente della tubercolosi è il polmone, anche se altri organi possono essere interessati dalla malattia (apparato circolatorio, apparato genito-urinario, cute, ossa, sistema linfatico ecc). Nella fase precoce, la tubercolosi è asintomatica, mentre nelle fasi più avanzate, la sintomatologia è variegata: il soggetto accusa un certo aumento della temperatura corporea, brividi, sudorazione notturna, affaticamento, pallore, perdita di appetito; in caso di tubercolosi polmonare, possono verificarsi anche dolori toracici, tosse ed emotisi; se l’infezione è a carico intestinale: stipsi, reflusso gastroesofageo, stenosi intestinale, mentre in caso di tubercolosi esofagea, il sintomo più evidente è una dolorosa disfagia.
La diagnosi si basa su dati anamnestici, su segni obiettivi, su esami strumentali (radiografia, Tac, ecografia), sulla ricerca del Bacillo di Koch, a seconda del distretto interessato, nell’escreato polmonare, nel liquido pleurico, nelle urine, nelle biopsie linfonoidali. Gli esami da effettuare sono: radiografia del torace e, in casi dubbi, TAC polmonare; Tine Test con controllo della positività a 24, 48 e 72 ore; esami batteriologici, esami sierologici ( prelievo del sangue): oltre agli esami comuni (emocromo, VES, transaminasi e azotemia, la diagnosi molecolare ecc.In caso di tubercolosi localizzata in altri distretti, è indispensabile lo studio specifico dell’organo o dell’apparato colpito. La cura della tubercolosi si basa sull’utilizzo di farmaci antibiotici (la terapia antibiotica dura per un notevole periodo di tempo, dai 6 ai 12 mesi). Se la patologia è in uno stato di latenza, viene impiegato un solo farmaco antibiotico; mentre, in caso di tubercolosi attiva, una combinazione di farmaci (per evitare la resistenza agli antibiotici).


Vuoi ricevere le notifiche sulle nostre notizie più importanti?